AKTUALNOŚCI
Zarząd i Pracownicy firmy HAMMERmed Medical Polska składają najserdeczniejsze życzenia z okazji Świąt Bożego Narodzenia oraz Szczęśliwego Nowego Roku.
Cykl wywiadów "poznaj łódzkich inwestorów" przybliża wiedzę o przedsiębiorcach, którzy na codzień rozwijają swój biznes w Łodzi.
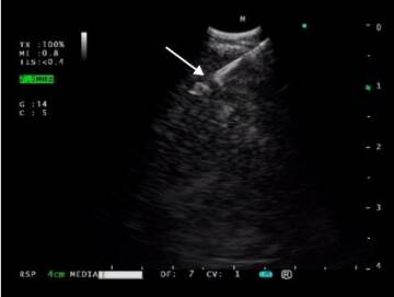
Celem pracy polskich specjalistów była ocena skuteczności EBUS/EUS -b-NA przy użyciu histologicznych igieł o średnicy 25 w szczegółowej diagnostyce chorych z zaawansowanym stadium raka płuc.
Mamy dobrą wiadomość - Hemospray® firmy COOK MedicalTM znów dostępny!
Jest nam niezmiernie miło poinformować, że napisany przez polskich specjalistów abstrakt, dotyczący systemu szycia OverStitch ukazał się w prestiżowym czasopiśmie Journal of Clinical Medicine.
„Bloomington, Ind./Hechingen – Cook Medical and Bentley InnoMed GmbH today announced that they are collaborating in clinical trials involving Cook’s fenestrated and branch stent grafts and Bentley’s covered stents.”






